Christian Hoffmann, Hamburg
Nicht-AIDS-definierende Tumore bei HIV-Patienten
Das Risiko für
Non-ADM ist für HIV-Patienten gegenüber der nicht infizierten Bevölkerung
insgesamt etwa 2-3-fach
erhöht. Schon angesichts des durch die
antiretroviralen Kombinationstherapien steigenden Lebensalters der Patienten
ist damit zu rechnen, dass die Inzidenz vieler Malignome in Zukunft noch
deutlich steigen wird.
Bei einigen Erkrankungen wie dem Morbus Hodgkin und dem Analkarzinom ist die erhöhte Inzidenz so offensichtlich, dass gefordert wird, sie als AIDS-definierende Erkrankungen einzustufen. So wird das relative Risiko für Analkarzinome bei HIV-Patienten auf 30-60 gegenüber der Normalbevölkerung geschätzt, das des Morbus Hodgkin bei 5-20.

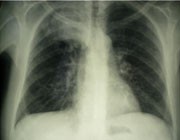
Abb. 1: Großes Bronchialkarzinom rechter Oberlappen
Non-ADM finden sich bei HIV-Patienten inzwischen mindestens so häufig wie die beiden wichtigsten ADM, nämlich maligne Lymphome und das Kaposi-Sarkom. Non-ADM sind folglich auch ein signifikanter Mortalitätsfaktor und führen inzwischen zu mehr Todesfällen bei HIV-Patienten als die ADM. In den meisten Kohortenstudien liegt der Anteil maligner Erkrankungen an allen Todesfällen bei HIV-infizierten Patienten bei 15-25%. Maligne Erkrankungen tragen damit mehr zur Mortalität bei als zum Beispiel eine chronische Hepatitis C oder kardiovaskuläre Erkrankung.
Heterogene Ursachen
Die Ursachen für die erhöhte Inzidenz vieler Non-ADM sind heterogen. In der D:A:D Studie waren die wesentlichen Risikofaktoren für tödliche Non-ADM steigendes Lebensalter und aktueller Nikotinkonsum, interessanterweise aber auch die Höhe der CD4-Zellen: Je niedriger, umso höher das Risiko für ein Non-ADM. Patienten mit <50 CD4-Zellen/µl hatten ein 15-fach erhöhtes Risiko gegenüber Patienten mit >500 CD4-Zellen/µl. In einer Datenbankanalyse von über 300.000 AIDS-Patienten aus den USA waren auch einige Malignome mit einer Immunschwäche assoziiert: das Hodgkin-Lymphom, Lungentumore, Peniskarzinom, Weichteil-Malignome, Hodenkarzinome und Lippenkarzinom. Allerdings erklären Immunschwäche und steigende Lebenserwartung nicht alles. Neben Lebensstil (Nikotinkonsum, Alkohol, UV-Exposition) spielen auch Koinfektionen (u.a. mit Humane Papillomviren, Hepatitis B und C) und andere, bislang nicht identifizierte Faktoren eine Rolle. Mit dem Analkarzinom als insgesamt häufigstem und dem Bronchialkarzinom als dem häufigsten zum Tode führenden Non-ADM werden im Folgenden zwei Entitäten gesondert besprochen.
Analkarzinom
Infektionen mit humanen Papillomviren (HPV) sind eine der am häufigsten sexuell übertragenen Virusinfektionen überhaupt und bei HIV-Patienten die häufigsten Non-ADM. HIV-Patienten haben ein 2-6-fach erhöhtes Risiko für anale HPV-Infektionen, und zwar unabhängig von Geschlecht, sexuellen Praktiken und Vorlieben. Das Risiko für persistierende HPV-Infektionen bei HIV liegt 7-fach höher und ist invers mit der CD4-Zellzahl korreliert. Mittlerweile sind fast 100 verschiedene HPV-Typen bekannt, etwa 20 davon sind mit Anal- oder Zervixkarzinomen assoziiert. Bei HIV-Patienten bestehen oft Koinfektionen mit mehreren HPV-Subtypen. Die persistierende HPV-Infektion führt zunächst zu präkanzerösen Vorstufen, den analen intraepithelialen Neoplasien (AIN). Bei schweren AIN ist die gesamte Epidermis betroffen, das Risiko für ein Analkarzinom ist hoch. Obwohl eine Beziehung zum Ausmaß der Immunschwäche besteht, ist der Einfluss von HAART allenfalls moderat. In longitudinalen Studien blieb die AIN-Prävalenz auch mit bzw. trotz HAART-vermittelter Immunrekonstitution hoch.
Für die Früherkennung des Analkarzinoms
wird in Deutschland von einigen Experten inzwischen gefordert, jährlich peri-
und intraanale Abstriche zu machen. Allerdings scheint es derzeit noch zu früh,
um dieses generell für alle HIV-infizierten Patienten empfehlen zu können.
Neben Früherkennung kommt auch der Prävention eine zunehmende Bedeutung zu.
Jüngste Resultate einer großen Impfstudie, die über erfolgreiche Impfungen bei
jungen (HIV-negativen) Männern berichten, bei denen genitale und anale
HPV-Infektionen deutlich reduziert werden konnten, geben Anlass zur Hoffnung.
Gleichwohl dürfte der Effekt einer solchen HPV-Impfung bei vielen HIV-
Patienten begrenzt zu sein, da viele ja bereits mit
multiplen HPV-Subtypen infiziert sind.
Bronchialkarzinome

Abb. 2: Hirnmetastase bei Bronchialkarzinom (zunächst unauffälliger CCT-Befund bei BC Diagnose, dann große Metastase 7 Monate später)
Bronchialkarzinome sind die am häufigsten zum Tode führenden Non-ADM. Die Inzidenz scheint im HAART-Zeitalter zu steigen, das relative Risiko für HIV-Patienten liegt bei 3-10 gegenüber der Normalbevölkerung. Die Gründe für den Anstieg der Inzidenz dürften zumindest zum Teil relativ banal sein: Erstens leben HIV-Patienten länger und haben somit deutlich mehr Zeit, ein Bronchialkarzinom zu entwickeln, und zweitens rauchen HIV-Patienten mehr als nicht infizierte Menschen, in einigen Ambulanzen sind es 60-70%. Man sollte sich mit den Patienten heute also durchaus auch über das Rauchen unterhalten: Time to quit – Möglichkeiten zur Entwöhnung gibt es genug.
Allerdings scheint es auch noch andere Faktoren zu geben, die zumindest partiell neben Alter und Nikotin zum erhöhten Risiko beitragen. Dafür spricht auch, dass vor allem Adenokarzinome erhöht sind, jener Subtyp, der von allen Bronchialkarzinom-Subtypen am wenigsten mit erhöhtem Nikotinkonsum assoziiert ist. Da meist kein schwerer Immundefekt vorliegt, werden zunehmend andere Faktoren postuliert, darunter spezifische Infektionen in der Lunge und eine dadurch bedingte Narbenbildung, aber auch erhöhte Spiegel proinflammatorischer Zytokine in der Lunge oder erniedrigte Glutathion-Level, wie sie bei HIV-Infektion zu finden sind. All diese Faktoren könnten die durch Rauchen entstandenen Schäden begünstigen bzw. verschlimmern. HIV-Patienten scheinen insgesamt eine erhöhte Empfindlichkeit gegenüber Karzinogenen zu zeigen.
Prävention und Früherkennung: Was ist zu tun?
Ob HIV-Patienten mehr und häufiger Vorsorge bzw. Früherkennungsuntersuchungen brauchen als HIV-negative Personen, ist unklar. Zumindest hinsichtlich des Analkarzinoms scheint ein Benefit möglich. Beim Kolonkarzinom ist die Lage nicht eindeutig, obwohl belegt ist, dass bei HIV-Patienten anlässlich Screening-Koloskopien häufiger neoplastische Veränderungen gefunden werden. Die Motivation hinsichtlich dieser Untersuchung hält sich offenbar bei HIV-Patienten und ihren Behandlern jedoch (noch) in Grenzen. Im Vergleich zur Normalbevölkerung werden HIV-Patienten noch immer deutlich weniger koloskopiert als HIV-negative Patienten. Für das PSA-Screening gibt es bei HIV-Patienten über die immerwährende Diskussion zum Nutzen in der Allgemeinbevölkerung hinaus bislang keine spezifischen Empfehlungen.
Hinsichtlich gynäkologischer Tumoren wäre wahrscheinlich schon viel gewonnen, wenn bei HIV-Patientinnen die gleichen Untersuchungen in der gleichen Häufigkeit durchgeführt würden wie sie bei HIV-negativen Frauen empfohlen sind. Auch hier besteht Nachholbedarf. Das gleiche gilt für das seitens der gesetzlichen Krankenkassen empfohlene Hautkrebsscreening.
Bei HCV- oder HBV-koinfizierten Patienten könnten regelmäßige (halbjährliche) Sonographien von Vorteil sein, wie kürzlich eine Studie zeigte. Hepatozelluläre Karzinome bei regelmäßig untersuchten Patienten waren bei ihrer Entdeckung weniger fortgeschritten, was sogar ein etwas besseres Überleben zur Folge hatte.
Ungeliebte Wahrheiten
Nicht zuletzt ist der Hinweis auf die Vorteile einer Nikotinkarenz und die Unterstützung bei der Rauchentwöhnung heute ein wesentlicher Aspekt der Behandlung von HIV-Patienten geworden. Während von diesen oft überflüssige „Vorsorge“-Untersuchungen gefragt und sogar eingefordert werden („Sollen wir nicht mal wieder röntgen?“), wird oft vergessen: Eine Nikotinkarenz ist und bleibt die mit Abstand wichtigste Vorsorge maligner Erkrankungen! Auch die Vermeidung übermäßiger Adipositas und ein gesunder Lebensstil bewirken vermutlich weitaus mehr als kostspielige Untersuchungen. Dies sind allerdings ungeliebte Wahrheiten, die in der Praxis dem Bedürfnis vieler Patienten zuwiderlaufen, etwas für die eigene Gesundheit tun zu wollen (nämlich Früherkennung), ohne gleichzeitig ungesunde Gewohnheiten aufgeben zu müssen (nämlich die eigentliche Prävention).
Darüber hinaus könnte auch die antiretrovirale Therapie präventiv sein – hierfür spricht die Assoziation vieler Non-ADMs mit einem Immundefekt. Allerdings scheint die HAART-vermittelte Immunrekonstitution nicht alles rückgängig machen zu können. Ob ein früherer Beginn der HAART (oberhalb der heutigen Grenzwerte von 350 CD4-Zellen letztlich auch einen positiven Effekt auf die Inzidenz der Non-ADMs hat, wird hoffentlich eine große Studie wie die in 2010 in Deutschland angelaufene START-Studie zeigen können. Hinsichtlich der ADM ist der präventive Effekt von HAART jedenfalls längst bewiesen, wie die deutlich rückläufigen Inzidenzen von Lymphomen und Kaposi-Sarkomen in den letzten Jahren eindrucksvoll belegen.










Diese Seite weiter empfehlen
