Christian Hoffmann, Hamburg
Bronchialkarzinome bei HIV-Patienten
In einer englischen HIV-Kohorte, in der
das relative Risiko in der „prä-HAART-Ära“ noch ungefähr auf dem Niveau der
Normalbevölkerung lag, stieg das relative Bronchialkarzinom (BC)-Risiko in den
letzten Jahren auf den Faktor 8 an (Bower 2003). In anderen Kohorten liegt das
relative Risiko recht konstant zwischen 3-10fach über dem der HIV-Negativen
(Engels 2006, Cadranel 2006, Dal Maso 2009).

Abb. 1 Anteil an malignen Erkrankungen an Todesursachen bei HIV-Patienten in Frankreich im Jahr 2000 (grau, n=924) und im Jahr 2005 (schwarz, n=1013). Zahlen nach Bonnet 2009. *Hepatitis-assoziierte Tumore.
In der Normalbevölkerung ist das Bronchialkarzinom bei Männern hierzulande die häufigste zum Tode führende Krebsart, bei Frauen liegt es, Tendenz steigend, bereits an dritter Stelle. Auch bei HIV-Patienten ist es längst zu einem signifikanten Mortalitätsfaktor geworden und führt inzwischen zu mehr Todesfällen als das Kaposi-Sarkom und das Zervixkarzinom zusammen. Die Abbildung 1 zeigt den prozentualen Anteil maligner Erkrankungen an den Todesursachen insgesamt bei HIV-Patienten in Frankreich 2000 und 2005 (Bonnet 2009).
Risikofaktoren
Die Gründe für den in den letzten Jahren beobachteten Anstieg dürften zumindest zum Teil relativ banal sein. Erstens leben HIV-Patienten länger und haben somit deutlich mehr Zeit, ein BC zu entwickeln, und zweitens rauchen HIV-Patienten mehr als nicht infizierte Menschen, in einigen HIV-Ambulanzen sind es bis zu 60-70%.
Allerdings scheint es auch noch andere Faktoren zu geben, die neben Alter und Nikotin zum erhöhten Risiko beitragen (Kirk 2007, Chaturvedi 2007). Dafür spricht auch, dass mit den Adenokarzinomen vor allem jener Subtyp erhöht ist, der von allen BC-Subtypen am wenigsten mit erhöhtem Nikotinkonsum assoziiert ist (Tirelli 2000, Cadranel 2006). Auch das Immunsystem scheint eine Rolle zu spielen. Das Risiko ein BC zu entwickeln, nimmt wohl mit zunehmender Immunschwäche deutlich zu. In einer französischen Studie an über 52.000 Patienten lag das Risiko für Patienten mit 350-500 CD4-Zellen/μl, verglichen mit Patienten über 500 CD4-Zellen/μl, bei 2,2. Bei Patienten mit weniger als 50 CD4-Zellen/μl stieg es auf 8,5 (Guiguet 2009). Diese Beobachtung wurde inzwischen auch in der prospektiven EuroSIDA-Kohorte bestätigt (Reekie 2011). In einer eigenen retrospektiven Kohorte (n=72) in Deutschland aus den Jahren 2000-2010 waren allerdings die meisten Patienten antiretroviral erfolgreich behandelt, die Viruslast in der Regel unter der Nachweisgrenze. Die CD4-Zellen lagen bei BC-Diagnose im Median bei fast 400/μl (Hoffmann 2011). Fast alle Patienten waren übrigens starke Raucher.
Da oft zumindest kein schwerer Immundefekt vorliegt, werden zunehmend auch andere ätiologisch relevante Faktoren diskutiert, darunter spezifische Infektionen in der Lunge und eine dadurch bedingte Narbenbildung, aber auch erhöhte Level proinflammatorischer Zytokine in der Lunge oder erniedrigte Glutathion-Level, wie sie bei einer chronischen Infektion wie HIV zu finden sind. Diese Faktoren könnten die durch Rauchen entstandenen Schäden begünstigen bzw. verschlimmern. HIV-Patienten scheinen somit insgesamt gegenüber Karzinogenen empfindlicher zu sein (Engels 2006, Kirk 2007, Chaturvedi 2007). In der US-Veteranen-Kohorte blieb für HIV-Patienten jedenfalls ein erhöhtes BC-Risiko bestehen, auch nachdem für andere Faktoren wie Rauchen, Alter, ethnische Herkunft und COPD adjustiert wurde (Sigel 2010).
Therapie

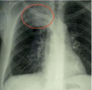
Abb. 2 Lokal weit fortgeschrittenes Bronchialkarzinom bei HIV pos. Patienten, Stadium IIIA
Therapeutisch gilt wie bei HIV-negativen Patienten, dass nur jene Patienten eine Überlebenschance haben, deren BC früh erkannt und diagnostiziert wird. Die Symptome sind unspezifisch, und wenn sie auffallen, ist es meistens zu spät. Bei HIV-Patienten wird die Diagnose leider nur selten rechtzeitig gestellt. In unserer eigenen Kohorte von 72 Fällen aus den Jahren 2000-2010 waren nur 34% in den zumindest theoretisch noch operablen UICC-Stadien I bis IIIa (Hoffmann 2011). Patienten in frühen Tumor-Stadien sollten möglichst in kurativer Intention operiert werden, Chemotherapien gewähren nur einen kurzen Aufschub um einige Monate. Die mediane Überlebenszeit lagen in früheren Kohorten bei 4-8 Monaten (Tirelli 2000, Spano 2004, Powles 2003, Cadranel 2006, Lavolé 2006+2009), in unserer eigenen Auswertung bei 12 Monaten – die Höhe der CD4-Zellen und limitierte Stadien waren dabei wesentliche Einflussfaktoren (Hoffmann 2011). Nur in sehr frühen Stadien, vor allem bei Stadium I, ist auch ein Langzeit-Überleben von mehr als zwei Jahren möglich.
Sofern eine Chemotherapie indiziert ist, sollte bei einem HIV-Patienten mit nicht kleinzelligem Bronchialkarzinom (NSCLC) in sonst gutem körperlichen Zustand eine Standard-Therapie aus Cis- oder Carboplatin plus entweder einem Taxan (Paclitaxel), Gemcitabine oder Navelbine begonnen werden. Diese Kombinationen erzielen bei HIV-negativen Patienten in etwa ähnliche Ansprechraten. Für HIV-Patienten gibt es leider kaum Therapie-Studien. Die Kombination aus Carboplatin und Gemcitabine scheint ganz gut vertragen zu werden (Bridges 2008). In zweiter Linie bzw. bei bestimmten Subtypen kommen auch Pemetrexed oder Erlotinib, ein Inhibitor der EGFR-Tyrosinkinase, in Betracht. Die Erfahrungen mit neuen Substanzen sind allerdings sehr begrenzt.
HIV-Behandler sollten dennoch versuchen, den angesichts der begleitenden HIV-Infektion oft nihilistisch gestimmten Onkologen davon zu überzeugen, dass HIV in diesem Fall das geringste Problem ist. Die HIV-Infektion ist für kein zytostatisches Medikament eine eindeutige Kontraindikation. In Zeiten, in denen selbst autologe Stammzelltransplantationen (bei AIDS-NHL) fast schon Routine geworden ist, sollte sich die Behandlung des BC an den Empfehlungen für HIV-negative Patienten orientieren. Bei schlechtem Allgemeinzustand kann eine gut verträgliche Kombination aus Gemcitabine und Navelbine versucht werden, die zumindest bei einigen Patienten für kurze Zeit die Progression aufhält. Zu beachten ist, dass bei vielen Zytostatika – zumindest theoretisch – Interaktionen mit antiretroviralen Medikamenten auftreten können. Auch kumulative Toxizitäten sind möglich. Es sollte daher im Vorfeld überlegt werden, ob diesen nicht durch eine Umstellung der ART aus dem Wege gegangen werden kann. Die Auswahl antiretroviraler Substanzen, auf die ausgewichen werden kann, ist meist groß genug.
Früherkennung, Vorsorge
Bislang gibt es trotz aller Bemühungen keine validierten Untersuchungen für die Früherkennung von Bronchialkarzinomen. So ist der Hinweis auf die Vorteile einer Nikotinkarenz und die Unterstützung bei der Rauchentwöhnung heute ein wesentlicher Aspekt auch bei HIV-Patienten geworden. Da von den Patienten oft Vorsorge und Früherkennung vermischt werden und überflüssige „Vorsorge“-Untersuchungen gefragt bzw. sogar eingefordert werden („sollen wir nicht mal wieder röntgen?“), sollte man auch wiederholt klar machen: Eine Nikotinkarenz ist und bleibt die wichtigste Vorsorge! Auch das Vermeiden übermäßiger Adipositas und ein gesunder Lebensstil bewirken vermutlich weitaus mehr als kostspielige Untersuchungen. Man sollte sich also durchaus auch über das Rauchen unterhalten: Time to quit – Möglichkeiten zur Entwöhnung gibt es genug (Niaura 2000). Interessant dabei ist, dass gerade bei den Langzeit-Patienten erfahrungsgemäß solche Gespräche zu kurz kommen. Oft ist nicht einmal der aktuelle Raucher-Status bekannt. In einer kürzlich publizierten Untersuchung in Frankreich an über 1.000 Patienten mit mindestens fünf Jahren ART wurden neben den Patienten auch die jeweils behandelnden Ärzte zum Nikotinkonsum ihrer Patienten befragt. Während letztere in 68,8% einen aktuellen Nikotinkonsum angaben, vermuteten die Ärzte dies lediglich bei 32,5% der Patienten (Bouchaud 2011). Gut ein Drittel der Patienten zählt sich somit zu den regelmäßigen Rauchern, ohne dass der Arzt dies überhaupt weiß.










Diese Seite weiter empfehlen
